Estetica dentale a Partinico
La protesi estetica dentale si avvale di molte soluzioni per migliorare il tuo sorriso. Soluzioni rese possibili anche dalle nuove conoscenze tecnologiche.
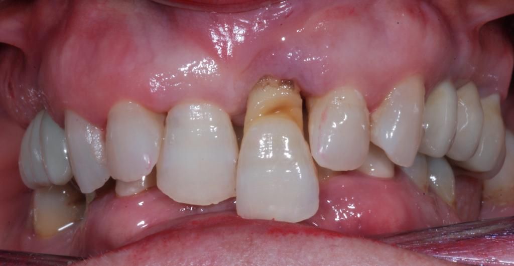
“Mariella 45 anni, una grave forma di parodontite aveva gravemente colpito il suo sorriso rendendole impossibile la vita di relazione.
L’impiego di capsule in zirconia e ceramica le ha ridato sicurezza e fiducia e anche uno splendido sorriso!"
Prima

Dopo

FACCETTE IN CERAMICA
Vuoi migliorare l’estetica del tuo sorriso?
Grazie alle faccette dentali potrai avere un sorriso perfetto. Le faccette vengono utilizzate per correggere forme e colori dei denti anteriori. Sono indicate in caso di
• Denti con forme sgradevoli,
• Diastemi(spazio tra i denti),
• Denti con difetti dello smalto,
• Denti disallineati,
• Denti usurati o scheggiati.
Le faccette sono costituite da sottili lamine cementate sulla superficie esterna dei denti anteriori leggermente limati.
Possono essere realizzate in diversi materiali:
1. Resine composito
2. Ceramica
3. Disilicato di litio
Le faccette in resina composita tendono a cambiare colore nel tempo e a scheggiarsi. Per ovviare a questi inconvenienti vengono utilizzate le faccette in ceramica o in disilicato di litio. Questi tipi di faccette garantiscono;
• Grande resistenza all’usura
• Risultati estetici eccellenti
• Stabilità del colore nel tempo.
Prenditi cura delle faccette dentali con: un’accurata igiene orale e controlli periodici
INTARSI ESTETICI
Hai un dente molto danneggiato? Grazie agli intarsi dentali estetici potrai tornare a sorridere.
L’intarsio ricostruisce la porzione di dente mancante garantendo:
• Grande resistenza
• Protezione della parte restante del dente
• Ottima estetica
Può essere realizzato in diversi materiali:
• Resine composite
• Ceramica
• Disilicato di litio
Gli intarsi vengono utilizzati per ricostruire molari e premolari.
Prenditi cura degli intarsi con un’accurata igiene orale e controlli periodici.



