Protesi a Carico Immediato a Partinico
“Maria Giovanna è una signora di 57 anni ma ancora giovane ha perso tutti i denti. È questa una condizione che non permette una vita sociale adeguata e soprattutto vede compromesse la masticazione e la fonazione. Da considerare inoltre il fatto che la mancanza dei denti affossa le labbra e le guance facendo apparire più anziana una persona. La possibilità di entrare in studio senza denti ed uscire con un sorriso da grosse soddisfazioni personali e professionali al medico e al paziente. Maria Giovanna è rinata a nuova vita"
Prima

Dopo

Procedura della protesi a carico immediato
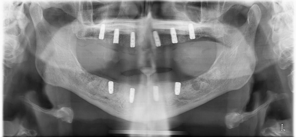
La procedura di applicazione delle protesi dentali a carico immediato va fatta quando le condizioni ossee, biomeccaniche, legate all’occlusione e ad altri fattori lo consentono in assoluta sicurezza, senza pregiudicare l’esito finale. Un’accurata pianificazione e la gestione delle componenti protesiche ci consentono di agire in assoluta sicurezza, in modo tale che il paziente non debba incontrare alcuna problematica successiva all'intervento di implantologia.
Il paziente nella foto, come si può vedere seguendo la linea del tempo è passato da una situazione di mancanza di denti all’inserimento degli impianti e alla protesizzazione del mascellare superiore in un’ora e 15 minuti. Ciò può essere fatto combinando le tecniche della chirurgia guidata e del carico immediato, qualora le condizioni siano idonee.
Per effettuare una visita di controllo per l'applicazione di protesi dentali a carico immediato, contatta subito lo staff dello studio dentistico del Dottor Gianfranco D'Asaro: siamo a tua disposizione.
il paziente ha inserito gli impianti e ha messo i denti dopo solo 1 ora e 15 minuti
La protesi dentaria è quella branca dell’odontoiatria che si occupa di sostituire i denti mancanti:
Essenzialmente si divide in protesi fissa e protesi mobile a seconda se la protesi può essere rimossa dal paziente oppure no.
La protesi mobile può sostituire tutti i denti o solo una parte tramiti protesi mobili totali in resina oppure tramite protesi parziali in resina o protesi scheletrate.

La protesi fissa parimenti può essere seguita nel caso di un’edentulia totale, cioè quando mancano tutti i denti, o nel caso di un’edentulia parziale, quando mancano alcuni denti o solo uno.
La protesi fissa puo essere ad appoggio dentale oppure ad appoggio implantare.
Nella protesi fissa ad appoggio dentale si sfruttano i denti vicini, che vengano preparati e incapsulati per tenere i denti mancanti, il cosiddetto ponte tradizionale.
Nella protesi fissa ad appoggio implantare si inseriscono gli impianti dentali come sostegno dei denti mancanti.
Ulteriore ramo di specializzazione dello studio dentistico del Dottor Gianfranco D'Asaro, attivo da oltre 30 a Partinico e nella provincia di Palermo, consiste nell'applicazione di protesi dentali a carico immediato.
Per carico immediato in protesi implantare si intende l'nserimento di una protesi fissa entro le prime 24 ore dopo l'intervento di chirurgia implantologica. In genere, si tratta di una protesi provvisoria che ha la finalità di dotare subito il paziente di denti che suppliscano ai deficit estetici e funzionali.
Per richiedere ulteriori informazioni sui nostri servizi nell'ambito dell'applicazione di protesi dentali a carico immediato, non esitare a contattare i nostri recapiti nell'apposita sezione: siamo aperti dal lunedì al venerdì in Viale della Regione 1 a Partinico.



