Rigenerazione Ossea e Gengivale a Partinico
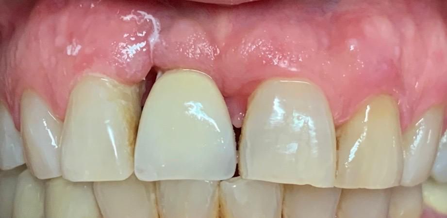
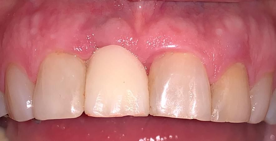
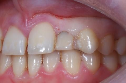
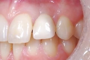
“Maria Antonietta anni 47 da anni ha una capsula su impianto in sede incisivo centrale superiore.
La patologia perimplantite ha provocato un grave riassorbimento della gengiva con formazione di inestetismi nelle papille gengivali.
È stata eseguita opportuna rigenerazione della gengiva con completa chiusura degli spazi vuoti e neri nelle papille"
Prima

Dopo

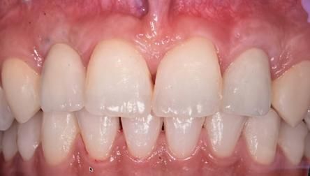
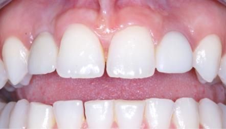
“Irene, 37 anni, presenta la gengiva dellincisivo centrale di destra più alta rispetto a quello di sinistra.
Un piccolo intervento di chirurgia gengivale ha corretto il difetto dando simmetria al sorriso"
Prima

Dopo

“Giulia, 23 anni, ha un problema molto comune, l’agenesia dell’incisivo laterale, cioè la mancanza di un dente che non si forma fin dalla nascita.
Questa condizione comporta spesso un osso in corrispondenza del dente mancante molto sottile e quindi oltre all’inserimento di un impianto si deve fare la ricostruzione dell’osso (cosiddetta rigenerazione ossea guidata o GBR) per ripristinare il mormale volume e dare estetica al sorriso"
Prima

Dopo

RIGENERAZIONE OSSEA E GENGIVALE
A volte guardando una bella bocca si nota che qualcosa non va, i denti sono tutti allineati perfettamente ma la gengiva anche solo di un dente o due assume un livello alterato rispetto agli altri denti lasciando scoperta una parte più o meno alta della radice del dente. Questo fenomeno si definisce recessione gengivale. La recensione gengivale in alcuni casi può provocare fenomeni di sensibilità dentinale al caldo e al freddo ma anche indolenzimento della gengiva quando si puliscono i denti. Le cause principali della recessione Gengivale sono essenzialmente due. La prima è la malattia parodontale che provoca infiammazione della gengiva e dei tessuti sottostanti cioè l’osso e il legamento parodontale. All’inizio la gengiva si infiamma ma persistendo la presenza di tartaro e placca batterica di può verificare la recessione. Il dente cioè perde attacco parodontale. Un’altra causa è rappresentata da una tecnica errata di spazzolamento durante la normale igiene che si fa a casa oppure da un eccesso di forza applicata dallo spazzolino da denti, perché le setole dello spazzolino usate in modo errato rappresentano un trauma in grado addirittura di provocare un’abrasione della radice del dente assieme alla recessione gengivale. Non è raro vedere infatti denti molto lunghi con otturazioni fatte per ricoprire la radice in conseguenza della recessione gengivale con conseguenze estetiche immaginabili.
È possibile riportare le gengive al loro posto?
È possibile coprire di nuovo le radici dei denti?
Questo è possibile, entro certi limiti, ma in tanti casi si riesce ad ottenere dei risultati ottimali, stabili e duraturi. Con opportune manovre si possono ricoprire le radici anche di più denti vicini riportando al giusto posto il livello gengivale. Chiaramente il paziente deve fare la sua parte cioè deve avere un controllo ottimale della placca batterica e adottare finalmente una tecnica di spazzolamento idonea all’igiene senza provocare danni a denti e gengive. Queste pratiche in alcuni casi possono essere estese anche alla ricopertura degli impianti dentali per esempio in certe condizioni quando si scopre parzialmente l’impianto si può ricoprire la parte esposta con risultati stabili nel tempo.



