Sbiancamento ed Igiene Dentale a Partinico
Grande importanza diamo all’estetica oltre che alla funzione dei denti.
In particolare le nostre tecniche di sbiancamento dentale ci permettono di far splendere il sorriso dei pazienti con trattamenti corti, molte volte eseguiti nella stessa seduta dell’igiene orale.
Vantaggi? Pochi appuntamenti per il paziente, tecnica indolore, nessuna sensibilità post-trattamento, denti più bianchi.
Il trattamento sbiancante viene eseguito con l’applicazione di un gel sbiancante sulla superficie dei denti, attivato grazie alla luce emessa da una lampada per sbiancamento di ultima generazione.
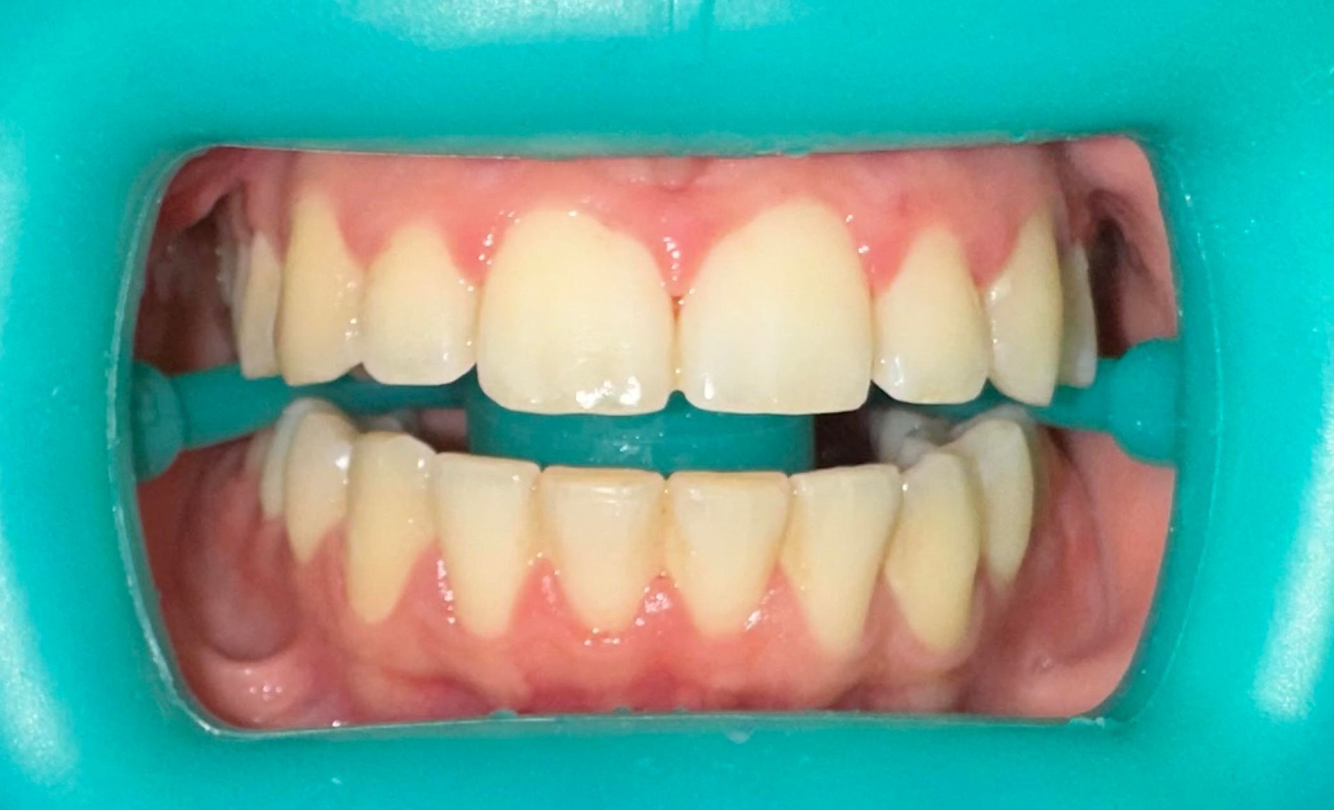
Prima

Dopo

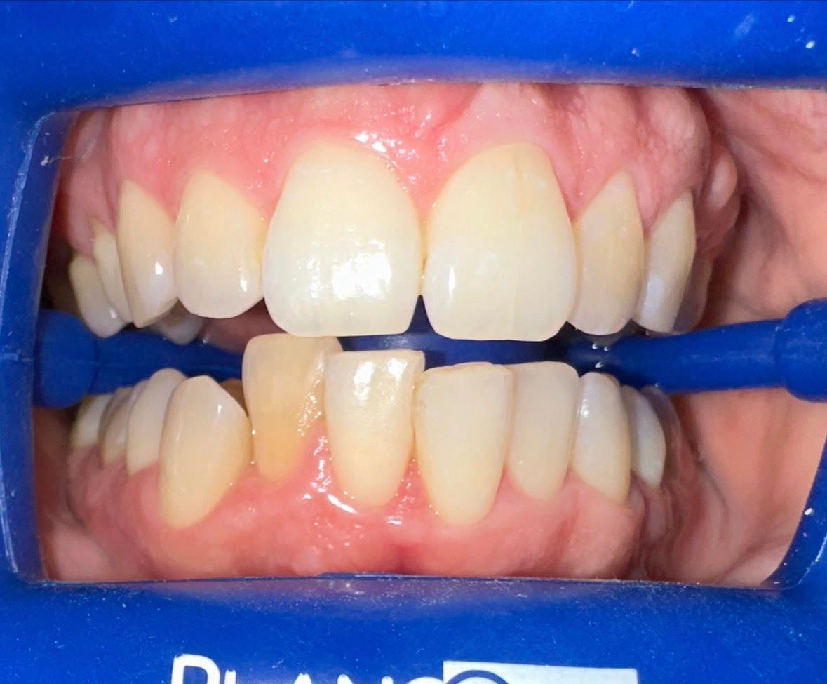
Prima

Dopo

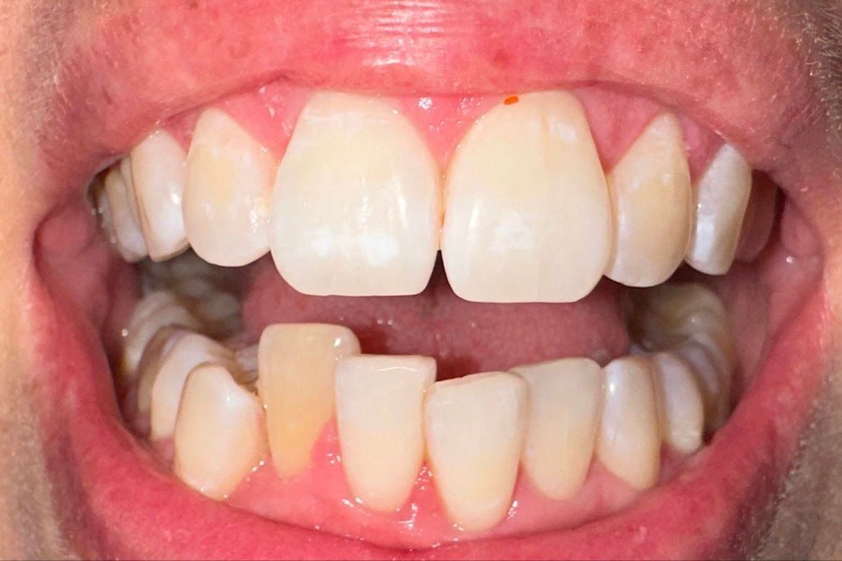
Prima

Dopo

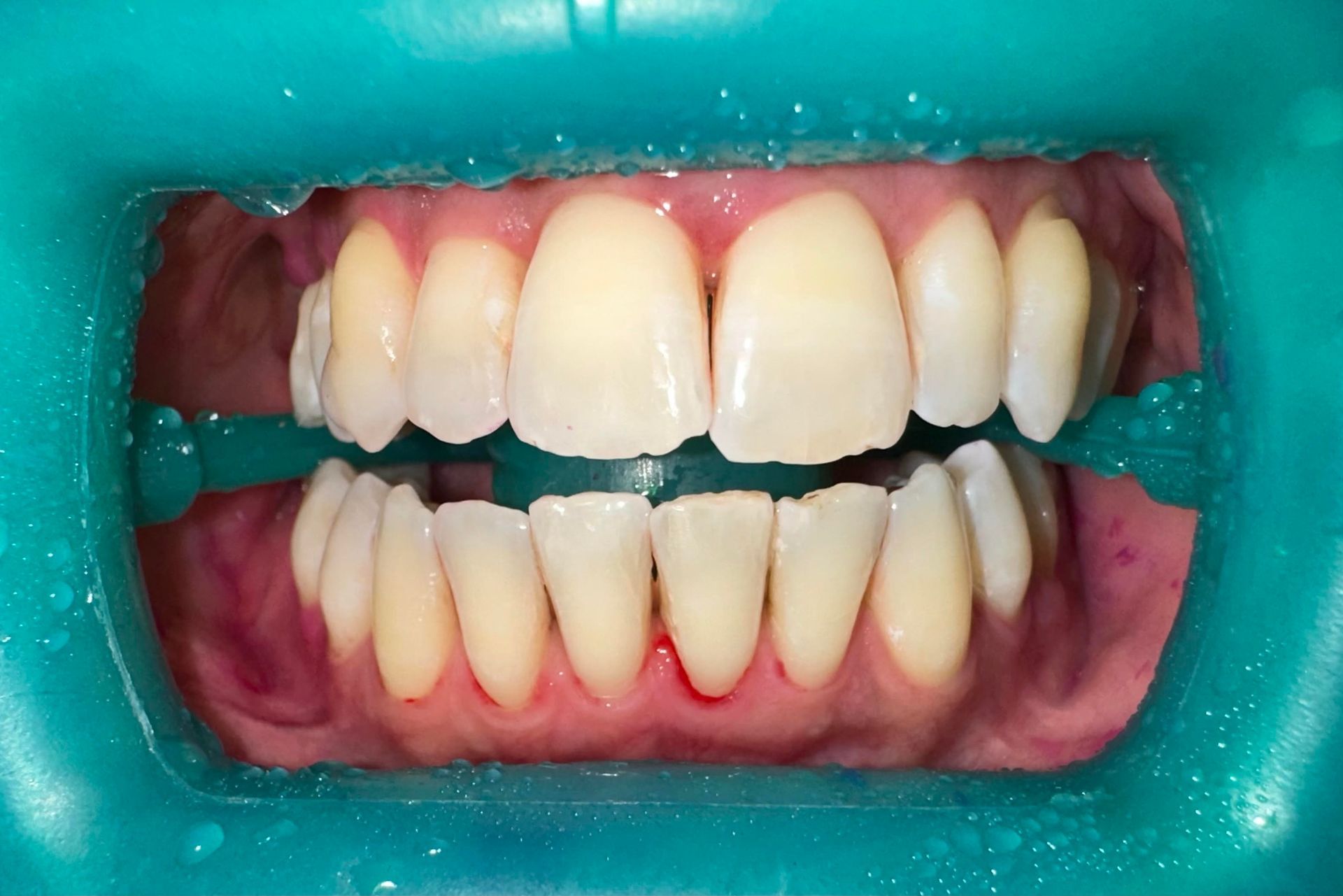
Prima

Dopo

Inoltre nel nostro studio l’igiene orale viene eseguita con sistemi professionali basati su tecnologia Svizzera che rendono l’ablazione tartaro una seduta assolutamente indolore.
Con l’aiuto di una macchina rivoluzionaria che decontamina la bocca e i denti attraverso l’utilizzo di polveri molto sottili in grado di rimuovere la placca batterica, i tuoi denti sembreranno già subito dopo l’igiene più bianchi e puliti.



